Intramedullary Nailing

Effective stabilisation for long bone fractures

Intramedullary Nailing (IM Nailing) is a stabilisation technique used for fractures of long bones, such as the femur, tibia, and humerus. At Melbourne Orthopaedic Clinic, our team uses this advanced method to provide patients with strong, internal support that promotes bone healing and allows early mobility. This procedure is effective for treating fractures with minimal soft tissue disruption.

What is Intramedullary Nailing?

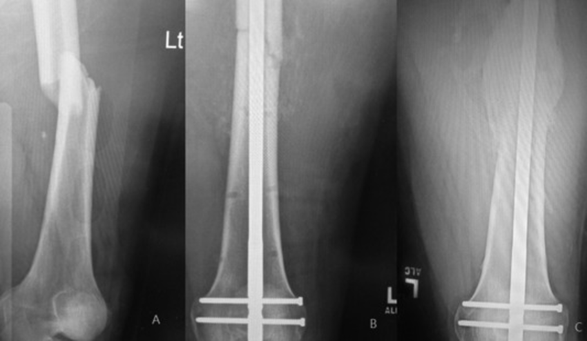
Intramedullary Nailing involves inserting a metal rod, or nail, into the central cavity of a long bone (the medullary canal). The nail is designed to keep fractured bone segments aligned and stable during healing. Once placed within the bone, the nail is secured with locking screws at each end to hold the fragments in place.

This technique is ideal for:

  • Long Bone Fractures: Especially fractures of the femur (thigh bone), tibia (shin bone), and humerus (upper arm bone).
  • Fractures with Minimal Soft Tissue Injury: Allows for internal stabilisation without extensive surgical exposure.
  • Unstable or Comminuted Fractures: Provides internal support for fractures that would otherwise have limited stability.

When is Intramedullary Nailing Recommended?

IM Nailing is often the preferred option for:

  • Long Bone Fractures: Particularly in weight-bearing bones where stability is crucial.
  • Multiple or Complex Fractures: Especially when precise alignment is needed for optimal healing.
  • Open or Closed Fractures: Can be used in cases of both open (compound) and closed fractures, depending on the situation.
  • Re-fractures or Nonunions: Sometimes used to stabilise a bone that has not healed correctly after a previous fracture.

The Intramedullary Nailing Procedure

  1. Anaesthesia: Performed under general or regional anaesthesia to keep the patient comfortable.
  2. Incision and Access: A small incision is made near one end of the fractured bone to access the medullary canal.
  3. Insertion of the Nail: The surgeon carefully inserts the nail into the canal, positioning it to span the fracture site.
  4. Locking Screws Placement: Screws are placed through the bone and nail at each end to securely lock the nail in place, maintaining alignment and stability.
  5. Wound Closure: Incisions are closed, and a dressing is applied.

Recovery and Rehabilitation

  • Early Mobility: IM Nailing allows for early weight-bearing and movement, depending on the bone involved and the fracture’s stability.
  • Physiotherapy: Targeted exercises begin soon after surgery to restore strength, flexibility, and range of motion.
  • Healing Time: Bone healing varies based on the location and severity of the fracture but typically spans several months. The intramedullary nail provides stability throughout.
  • Follow-Up: Regular follow-up visits ensure the bone is healing properly, with imaging to monitor progress.

Potential Benefits of Intramedullary Nailing

  • Stable Internal Fixation: Provides robust internal support, particularly beneficial in weight-bearing bones.
  • Minimally Invasive: Minimises surgical exposure and soft tissue trauma, which aids in faster recovery.
  • Early Weight-Bearing: In many cases, patients can bear weight sooner, promoting functional recovery.
  • Reduced Risk of Complications: Lower risk of certain complications compared to external stabilisation methods.

Risks and Considerations

Although IM Nailing is generally safe, some potential risks include:

  • Infection: As with any surgical procedure, there is a risk of infection, managed with sterile techniques and sometimes antibiotics.
  • Nail or Screw Breakage: Rarely, nails or screws may break or loosen, potentially requiring revision surgery.
  • Delayed Union or Nonunion: Occasionally, fractures may take longer to heal or may not heal fully, needing additional intervention.
  • Irritation or Pain: Some patients experience mild discomfort around the nail, typically temporary and managed with medication.

Enabling Strong, Steady Healing with Intramedullary Nailing

Intramedullary Nailing provides a highly effective solution for stabilising long bone fractures, allowing patients to regain movement and strength with minimal disruption. At Melbourne Orthopaedic Clinic, we specialise in advanced fracture care, combining expert surgical techniques and patient-centred rehabilitation to restore mobility and confidence.